診療メニュー
General dentistryむし歯治療
当院のむし歯治療の特徴
「歯医者は怖い」「痛い」 そんなイメージを払拭します
歯科医院での治療が痛かったり、怖かったりすると足が遠のいてしまい、むし歯や歯周病をますます進行させてしまいます。当院では患者さんから「なぜ痛くないのですか?」と聞かれるほど、麻酔時の痛みを和らげることができます。緊張していると痛みが増すため、まずは患者さんとざっくばらんに世間話をしたり、患者さんの関心があることを聞いたりしながらリラックスしていただきます。
また、長年の経験と培った技術、丁寧な対応で次のような不安を解消しています。
「麻酔の注射が痛そう」「漠然とした恐怖感がある」
麻酔をする際には、患者さんの目を手で隠すことで注射する様子が見えないようにして恐怖感を和らげます。また、指で歯ぐきを押したり、唇をめくったりして、それらの部位に患者さんの気が集中している間に別の部位に注射をすることで、痛みを感じる間もなく注射を終えられることが多いです。
どうしても痛みが心配な方には、注射の前にゼリー状の麻酔薬を歯ぐきに塗って染み込ませ、歯ぐきの感覚を麻痺させる「表面麻酔」を行っています。また、麻酔薬の注射時の痛みは注入速度のムラによって生じるため、注入速度を自動で一定に保つ電動麻酔器もご用意しています。当院では、前述の工夫で痛みを感じない患者さんが多いため、これらを使用することはあまり多くありません。
「歯を削るときや抜くときが痛そう」
当院は「できるだけ歯を残す」という方針に沿って治療を行っていますが、どうしても削ったり抜いたりしなければならないこともあります。そのような場合でも、麻酔をしっかりと効かせてから治療を行いますので、削る痛みや抜く痛みを感じることはありません。
「麻酔が切れてきたときに痛みを我慢できるか心配」
麻酔が切れてくると痛みを感じることもありますが、当院では痛み止めの飲み薬を処方していますので、痛みを軽減することができます。
できる限り歯を残す治療を行っています
永久歯は一度抜けたら、二度と生えてくることはありません。また骨や皮膚とは違い、歯は一度削ると自然に元に戻ることはありません。そのため、当院では安易に削ったり抜いたりはせず、MTAセメントなどを使って、できる限り患者さんの歯を残すようにしています。むし歯や歯周病の進行状況によってはどうしても削らなければいけないこともありますが、その場合にもできる限り削る部分を減らすよう心がけています。
MTAセメント治療とは…
むし歯が進行して歯の神経を抜かないといけないときに行う治療方法です。MTAセメントと呼ばれる薬剤を塗ることで細菌を死滅させ、神経を抜かずにむし歯の治療が行えます。
むし歯の進行状況と治療方法
-
C0健康な歯

歯の表面が白く濁ったり、溝の部分が黄色くなったりします。
治療方法
特に治療の必要はありません。ご自宅での予防ケアを続けてください。
-
C1軽度のむし歯

歯の表面のエナメル質に穴があいた状態です。
治療方法
痛みの伴わない簡単な治療で済みます。
-
C2中度のむし歯

むし歯がエナメル質の下の象牙質にまで及んでいる状態です。冷たいものがしみるなどの自覚症状があります。
治療方法
歯に詰め物をするなど、治療が複雑になります。麻酔が必要なケースもあります。
-
C3重度のむし歯

むし歯が神経(歯髄)にまで及んでいる、かなり進行した状態です。痛みで寝付けないこともあります。
治療方法
むし歯の部分を削ります。炎症を起こしている神経を治療(根管治療)した上で、被せ物で歯を覆います。
-
C4最重度のむし歯

歯の表面に加えて神経も破壊され、元に戻すことはほぼ不可能です。
治療方法
抜歯をして、入れ歯やブリッジ、インプラントなどで欠損した歯を補います。
※神経は歯の痛みを伝えるだけでなく、歯に栄養分や酸素を送っています。神経を抜いた歯はもろくなり、後から被せ物にすき間ができて細菌が入っても痛みを感じないため、気づくのが遅れることがあります。
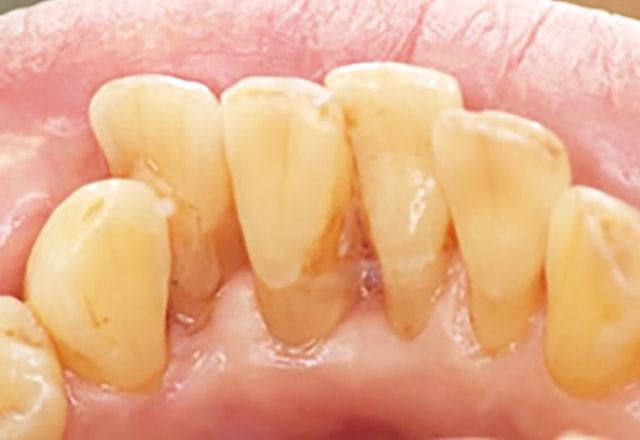
歯周病治療
歯周病とは
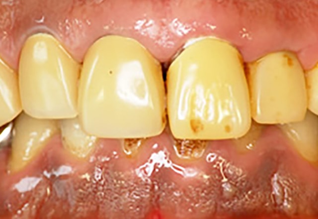
歯周病は日本人の8割もの人がかかっていると言われています。歯の周辺に付着したプラーク(歯垢)や、スケール(歯石)内に細菌が繁殖することによって、歯肉の炎症や歯周組織の破壊を起こす病気です。症状としては歯ぐきの腫れや出血が知られていますが、進行すると歯を支えている歯槽骨を溶かすので歯を支えきれなくなり、歯が脱落することもあります。
予防のために、歯科医院で検診とブラッシング指導を受けましょう。
こんな症状はありませんか?
歯周病になっていないか、セルフチェックをしてみましょう。次の症状がある場合には、当院に一度ご相談ください。
- 歯から血が出る
- 歯と歯の間に食べカスが挟まりやすい
- 口臭が気になる
- 歯茎が下がってきた
- 歯茎が腫れている
- 歯がぐらぐらする
歯周病の原因とケアの方法
除去が必要です。歯科医院での定期的なケアとご自宅でのケアをあわせて行ってください。患者さんの中には、歯科医院でホームケアの方法を教わったことがない方もいらっしゃいますが、とても大事なことですので、当院では歯ブラシの選び方から丁寧にお伝えしています。
歯ぎしりや噛みしめが強いと、歯が動いてしまって歯周ポケットができやすくなります。歯が減ったり、しみたりする原因にもなりますので、ひどい場合には治療が必要です。
食生活の内容によっては、歯周病の原因菌の働きを強めてしまうことがあります。甘い食べ物を控え、歯応えのある物を食べるなどの注意が必要です。
糖尿病などの全身疾患は、歯周病を進行させる原因になります。院長は日本糖尿病協会の歯科医師登録医でもあるため、歯周病と全身疾患の関連に精通しています。
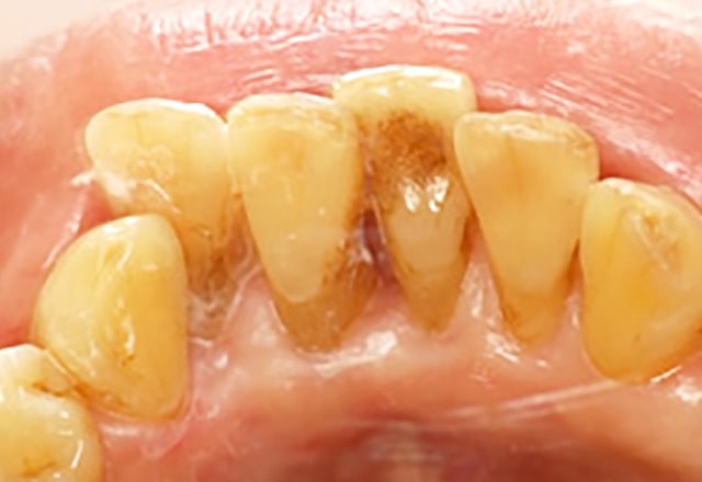
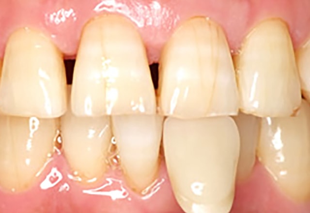
歯周病の進行状況と治療方法
歯周病は進行状況によって治療方法が異なります。
-
01軽度

健康な状態では歯と歯ぐきにはわずかなすき間しかなく、歯肉はきれいなピンクです。しかし、歯周病の初期、いわゆる歯肉炎の状態になると、歯周ポケットが2~3㎜程度になり、歯ぐきに炎症が起こります。もう少し進むと歯周炎と呼ばれる状態になって、歯周ポケットが3~5㎜くらいになります。このころにはブラッシングの際などに出血も起こります。
治療方法
歯周病は初期には自覚症状が目立たないので、気づかないうちに重症化することが多いとよく言われますが、ブラッシングの際に注意していれば初期のうちに気付くことができます。早いうちにご来院いただくほど治療もしやすく、歯を失うリスクも下げることができます。
-
02中度

歯周病が中程度まで進行すると、歯周ポケットは4~7㎜程度になり、歯ぐきの腫れだけでなく歯槽骨の破壊も進んでいきます。歯が長くなったと感じる人もいますが、歯槽骨が溶けてその分歯肉が下がった状態です。ブラッシング時の出血以外にも、起床時に口がねばついたり、進行するほど口臭がきつくなっていきます。また、表面からは見えませんが、歯槽骨が溶けるとしだいに歯が浮くように感じますし、歯がぐらついて食事がしにくくなるなどの症状も見られます。
治療方法
軽度から中度の歯周病には、スケーリングやルートプレーニングで歯石の除去を中心とした治療を行います。
-
03重度

重度になると歯周ポケットは7㎜以上にもなり、歯槽骨が半分以上も破壊されてしまいます。しだいに歯を支えきれなくなっていき、歯が前後左右、上下にグラつくことから食事の際のストレスが大きくなっていきます。
治療方法
当院では重度の歯周病への治療としては患者さんに状況を説明し、相談したうえで外科的な治療を行うこともあります。内容としては歯肉を切開してプラークやスケールを除去するフラップ手術、歯周病で溶かされてしまった骨を再生するGTR法やエムドゲイン法などがあります。GTR法は人口の膜を歯根膜や歯槽骨と歯肉の間に入れる方法で、エムドゲイン法は歯根に薬剤を塗る方法です。
予防歯科
口の状態をきちんと把握しましょう
健康な歯を長く保っていくためには、ご自分の口の状態を知り、適切なケアを行うことが重要な予防の第一歩です。当院ではプラーク検査をはじめとしたさまざまな口腔検査を行っています。ご自分の口の状態をきちんと把握して、毎日の口腔ケアに活かしましょう。
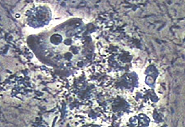
プラーク検査
プラークとは歯垢のことで、口の中にある細菌の塊です。
細菌は集まって塊になると除去しづらくなり、むし歯や歯周病を引き起こす原因となります。
プラーク検査では歯垢の付着や口の中にいる細菌の状態を観察できます。
口の中の細菌の種類
口の中を酸性にして、むし歯のきっかけを作る細菌です。
口の中に必ずいるカビ菌で、増殖すると歯ぐきが腫れたり歯周病を引き起こしたりします。
口の中が汚れていると、歯ぐきの中で毒素を出しながら増殖します。口臭の原因にもなる細菌です。
歯周病の原因となる菌で、毒素を出して歯ぐきを攻撃します。この菌がどの程度存在しているかによって、適切な歯周病の治療方法は変わってきます。
口内環境がかなり悪化すると、歯肉アメーバや口腔トリコモナスといった原虫(単細胞の微生物)が見られるようになります。
むし歯を進行させる細菌です。ツルツルとした歯には生存できないため、正しいブラッシングによって増殖を防ぐことができます。
動画で学ぶ!口の中の細菌
唾液検査
唾液は重要な役割を担っています
食べ物を摂取すると、口の中は酸性になり歯のミネラル成分が剥がれ落ちてしまいますが、唾液にはこの酸性状態を中性に戻し、ミネラル成分を歯に戻す働きがあります。それ以外にも、唾液は口の中を洗浄したり、再石灰化を促したりといった、口の健康には欠かせないさまざまな機能を持っています。唾液を調べると患者さんの本当の虫歯の原因がわかります。
当院では唾液の分泌量や成分を調べる検査を行っています。
歯科検診の流れ
患者さんの口の中を目で見て確認するほか、細菌を調べる検査や口腔内写真を撮影するなどして、総合的に口の中の状態をチェックしていきます。日頃のブラッシングのやり方や食生活などもお聞きします。また、必要に応じて唾液検査をおすすめしています。
カウンセリングと検査結果をもとに、口の中の状態を詳しく、わかりやすくご説明します。
PMTCやスケーリングを行って歯をきれいにし、口の中の環境を整えます。むし歯や歯周病があれば治療を行います。
PMTC(プロフェッショナル・メカニカル・トゥース・クリーニング)とは、歯ブラシでは落とせない細菌の塊(バイオフィルム)を除去する方法です。細菌の塊はキッチンのぬめりのように歯にこびりついています。PMTCの方法は、磨き残した箇所や歯周ポケットの中にある汚れを取り除いた後に、歯の表面を磨きます。専用のアロマペーストを使用し、歯肉と唇のマッサージも行います。マッサージには血液やリンパの流れをスムーズにし、唾液の分泌量を増やしたり、リラックスしたりする効果があります。
| 治療内容 | 全体の歯石除去とクリーニング、フッ素塗布 |
|---|---|
| 費用 | ¥5,500〜9,000 |
| リスク・副作用 | 日々のご自宅でのブラッシングも大切です |
| 治療回数 | 1回 |
自宅でできるセルフケア
むし歯や歯周病の原因となる食べカスや歯垢をしっかりと取り除くために、歯と歯の間や歯と歯ぐきの間、奥歯の溝は特に丁寧に磨きましょう。
歯と歯の間が狭くて歯ブラシが届きにくい人の場合には、細い糸のフロスを使って歯垢を除去しましょう。歯と歯の間に入れて表面を擦るように上下に動かして、歯垢をかき出してください。
マウスウォッシュは口の中の細菌を減らすことができるため、むし歯や歯周病の予防に効果的です。また、口臭を和らげる効果もあります。
お口の健康手帳
当院では、患者さん一人ひとりに「お口の健康手帳」を渡しています。お口の健康手帳には、患者さんにご自分の口の状態を理解していただくための情報が載っています。
歯の磨き残しについては「歯の汚れ診断書」、むし歯やその治療状況などは「むし歯診断書」、歯ぐきの健康状態は「歯周診断書」と題して、それぞれご説明しています。これらを活用して、ご自宅でのケアをより充実させることで、患者さん一人ひとりに口の健康を守ってもらいたいと考えています。
小児歯科
子どものむし歯予防の重要性
「歯科医院は怖くない」と思ってもらうことからスタートします
歯科医院や治療を嫌がるお子さんにはいきなり治療はせずに、まずは「歯科医院は怖くない」と思ってもらうことから始めます。子どもは「何をされるかわからない」ために怖がります。そのため、医療器具を持ってもらうなどして治療への実感を高めてもらうことで、徐々にハードルを下げていきます。
また「悪いばい菌をやっつけるんだよ」と言いながら、位相差顕微鏡を使って口の中の細菌を見せると、「(治療を)やる!」と積極的になってくれるお子さんもいらっしゃいます。
お母さんからもお話をお聞きしています
歯科医院での治療が痛かったり、怖かったりすると足が遠のいてしまい、むし歯や歯周病をますます進行させてしまいます。当院では患者さんから「なぜ痛くないのですか?」と聞かれるほど、麻酔時の痛みを和らげることができます。緊張していると痛みが増すため、まずは患者さんとざっくばらんに世間話をしたり、患者さんの関心があることを聞いたりしながらリラックスしていただきます。
また、長年の経験と培った技術、丁寧な対応で次のような不安を解消しています。
当院の小児歯科治療
お子さんの口を見て、お母さんから生活習慣などをお聞きします。
必要に応じてレントゲン写真や口腔内写真を撮影し、さらに詳しく状況を確認します。また、虫歯の状態により唾液検査をお勧めしています。
お子さんの口を見て、お母さんから生活習慣などをお聞きします。カウンセリングと検査結果をもとに、お口の現状と治療計画をご説明します。
必要に応じてむし歯などの治療を行い、また、むし歯を予防する効果のあるフッ素塗布やシーラントを行います。
治療後に口の状態を確認します。必要に応じて口腔内写真を撮影することで、治療前の状態と比較を行い、治療結果を検証します。
治療後はメンテナンスを行います。お子さんの口の状態に合わせて、ご来院いただく頻度をお伝えします。
フッ素塗布は、むし歯の原因菌の働きを弱めます。
シーラントは、歯ブラシの届きにくい奥歯の溝に樹脂などを埋め込むことによって歯面を滑らかにします。
赤ちゃんへの感染予防
赤ちゃんへのむし歯菌の感染予防について、動画でご紹介しております。
審美歯科
審美歯科とは
歯を美しくする治療を審美歯科と言います。歯の汚れを落としたり、白くしたり、詰め物・被せ物を替えたりとアプローチはさまざまです。当院では患者さんの口の状態とご希望を踏まえながら、満足していただける美しさをめざします。
審美歯科には、歯がきれいになることで患者さんのブラッシングがより一層充実するなど、予防的な効果もあります。
当院で行える審美歯科治療
歯を白くするホワイトニング
ホワイトニングとは、専用の薬剤を塗って浸透させることで歯の着色を落とし、歯を白くする方法です。
患者さんがご自宅で継続的に行うホームホワイトニングと、歯科医院で行うオフィスホワイトニングがあります。
ホームホワイトニングがお勧めです
オフィスホワイトニングよりも白くなりやすいホームホワイトニングをお勧めしています。オフィスホワイトニングに比べ白くなるまでの時間はかかりますが、その分、薬剤が深く浸透して歯の白さが増し、長期間白さを保持できます。当院では、患者様に合わせたマウスピースの中に専用の薬剤を流し込んで装着するホームホワイトニングを採用しています。
- 自宅や職場など好きな場所でホワイトニングに取り組める
- 歯の白さが比較的持続しやすい
- オフィスホワイトニングに比べると費用を抑えられる
- オフィスホワイトニングに比べて薬剤の濃度が低く、効果を得るまでに時間がかかる
- 1回あたりのマウスピース装着時間が長い
- ホワイトニング期間中は色の濃い食べ物や飲み物に気をつける必要がある
- ホームホワイトニングは公的医療保険が適用されない自由診療です
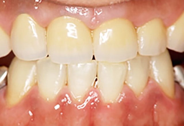
当院をご利用の方の症例
ホームホワイトニング治療
| 費用 | 28,600円(前歯12本) |
|---|---|
| 治療期間 | 2~4週間 |
黄ばみや着色を落とすクリーニング
エアフロー(着色除去)
たばこのやに、コーヒーなどの着色(ステイン)をプロが専用の機材を使用して除去します。当院では「エアフロー」という機器を使って、歯の黄ばみや着色をきれいに落とします。重曹の成分で知られる炭酸水素ナトリウムなどの粒子をジェット噴射することで、一気に歯の表面の汚れを落とします。
| 治療内容 | 体に害のない粒子をウォータースプレーで吹きつけ、歯の表面に付着したしつこい汚れを吹き飛ばします。 |
|---|---|
| メリット | 通常のクリーニングだけでは完全に除去できない汚れを、除去することができます。 |
| リスク・副作用 | 知覚過敏の方の場合には、刺激を感じる場合があります。 |
| 費用(自由診療) | 2,200円(税込) |
| 治療回数 | 1回 |
当院をご利用の方の症例
ガムピーリング(メラニン色素除去)
当院では、「ガムピーリング」という方法で黒ずんでしまった歯茎に、薬剤を塗布することで、健康的なピンク色の歯茎を取り戻します。
| 治療内容 | 歯茎にピーリングの効果があるホワイトニング剤を塗布して、変色を起こした部分を剥がし取り、新しい歯肉を再生させることによって変色を解消します。 |
|---|---|
| メリット | 健康的で美しい印象の口元を実現できます。 |
| リスク・副作用 | すべての歯茎の変色に対応できるわけではありません。およそ2、3年が経過すると元の状態に戻ってしまいます。 人によっては、薬剤が染みて痛みが生じる可能性があります。施術直後は歯茎が敏感な状態にあるため、飲食や歯磨き等に気を付ける必要があります。 |
| 費用(自由診療) | 3,500円(税込) |
| 治療回数 | 1~5回 |
当院をご利用の方の症例
白くて美しい詰め物・被せ物
歯と詰め物や被せ物がフィットしていないとすき間ができ、その中に食べカスが入って汚れがたまり、むし歯や歯周病を引き起こします。
当院では審美面に加え予防の効果も考慮して、患者さんの歯にフィットした精密な詰め物・被せ物をご提供しています。
また歯の削り方を工夫するなど、長持ちさせることにも力を入れています。
お勧めの材質
前歯の場合(1~4番)
前歯にはe-max(イーマックス)をお勧めしています。e-maxとはガラスを主成分とするセラミックで、他の素材に比べ透明感が格段に良く、審美性に優れています。
奥歯の場合(5~8番)
奥歯にもe-maxをお勧めしています。e-maxは天然歯と同じくらいの硬度であるため、上の歯と下の歯がぶつかっても、もう一方の歯を傷つける恐れが少ないという特長があります。一方で歯ぎしりが強い方には、より硬度の高いジルコニアをお勧めしています。

詰め物の各素材と料金
素敵な美しさ
オールセラミック(e-max)
| 素材 | 100%セラミック |
|---|---|
| 違和感 | ★★★★★ |
| 安定性 | ★★★★☆ |
| 熱伝導 | ★★★★★ |
| 料金 | 45,000円(税込) |
| 治療回数 | 2~10回 ※むし歯の進行具合によって増えることもあります。 |
- 自然で透明感のある白色
- 金属アレルギーが起こらない
- 極度の強い衝撃で割れることがある
- 公的医療保険が適用されない自由診療です
美しい耐久性
ジルコニア
| 素材 | 100%ジルコニア |
|---|---|
| 違和感 | ★★☆☆☆ |
| 安定性 | ★★★★★ |
| 熱伝導 | ★★★★☆ |
| 料金 | 66,000円(税込) |
| 治療回数 | 2~10回 ※むし歯の進行具合によって増えることもあります。 |
- 高い耐久性を誇る
- 二次虫歯になる可能性が低い
- 金属アレルギーになりにくい
- 修理が困難
- 自費治療のため費用が高い
- 公的医療保険が適用されない自由診療です
安価
金銀パラジウム合金
| 素材 | 銀、パラジウムなどを使用した銀合金 |
|---|---|
| 違和感 | ★☆☆☆☆ |
| 安定性 | ★☆☆☆☆ |
| 熱伝導 | ★☆☆☆☆ |
| 料金 | 保険適用 |
- 健康保険が適用される
- 目立つ
- 二次虫歯になりやすい
- 金属アレルギーになる可能性がある
被せ物の各素材と料金
美しい耐久性
ジルコニアレイヤリング
| 素材 | 丈夫で白いジルコニアにセラミックを焼き付け |
|---|---|
| 違和感 | ★★★★★ |
| 安定性 | ★★★★★ |
| 熱伝導 | ★★★★★ |
| 料金 | 77,000円(税込) |
| 治療回数 | 2~10回 ※むし歯の進行具合によって増えることもあります。 |
- フルジルコニアと比べて天然歯に近い色
- ほとんど変色しない
- 摩耗、耐久性に優れている
- プラークが付きにくい
- 金属アレルギーになりにくい
- 極度の強い衝撃で割れることがある
- 公的医療保険が適用されない自由診療です
美しい耐久性
フルジルコニア
| 素材 | 丈夫で白いジルコニア |
|---|---|
| 違和感 | ★★★★★ |
| 安定性 | ★★★★★ |
| 熱伝導 | ★★★★★ |
| 料金 | 66,000円(税込) |
| 治療回数 | 2~10回 ※むし歯の進行具合によって増えることもあります。 |
- 自然な白色
- ほとんど変色しない
- 摩耗、耐久性に優れている
- プラークが付きにくい
- 金属アレルギーになりにくい
- 硬すぎて咬みあわせる相手側の歯を傷める可能性がある
- 公的医療保険が適用されない自由診療です
素敵な美しさ
オールセラミック(e-max)
| 素材 | 100%セラミック |
|---|---|
| 違和感 | ★★★★★ |
| 安定性 | ★★★★☆ |
| 熱伝導 | ★★★★★ |
| 料金 | 77,000円(税込) |
| 治療回数 | 2~10回 ※むし歯の進行具合によって増えることもあります。 |
- 自然で透明感のある白色
- ほとんど変色がない
- 摩耗に強い
- プラークが付きにくい
- 金属アレルギーになりにくい
- 強い衝撃で割れることがある
- 公的医療保険が適用されない自由診療です
健康的な美しさ
メタルセラミック
| 素材 | 金属にセラミックを焼き付け |
|---|---|
| 違和感 | ★★★★☆ |
| 安定性 | ★★★★★ |
| 熱伝導 | ★★★★★ |
| 料金 | 66,000円(税込) |
| 治療回数 | 2~10回 ※むし歯の進行具合によって増えることもあります。 |
- 白く美しい。目立たない。変色が少ない
- 裏側に金属を使用しているので、ある程度の耐久性が期待できる
- 強い衝撃で割れることがある
- 表面は美しいが影が黒く見える場合がある
- 公的医療保険が適用されない自由診療です
安価
CADCAM
| 素材 | セラミックとプラスチックの混合物 |
|---|---|
| 違和感 | ★★★☆☆ |
| 安定性 | ★★★☆☆ |
| 熱伝導 | ★★★★☆ |
| 料金 | 保険適用 |
- 健康保険が適用される
- 多少の変色がある
- 二次虫歯になりやすい
安価
金銀パラジウム合金
| 素材 | 銀、パラジウムなどを使った銀合金 |
|---|---|
| 違和感 | ★☆☆☆☆ |
| 安定性 | ★★★☆☆ |
| 熱伝導 | ★☆☆☆☆ |
| 料金 | 保険適用 |
- 健康保険が適用される
- 色が目立つ
- 二次虫歯になりやすい
- 金属アレルギーになる可能性
入れ歯
入れ歯の重要性
歯を1本でも失った場合、放置していると噛み合わせのバランスが崩れたり、失った部分の周囲の歯に負担がかかって残っている歯の寿命を縮めることになります。また、食事がしにくい、発音しにくいなどの弊害や、見た目の悪さもありますから、できるだけ放置せずに何らかの処置をすることをお勧めします。
入れ歯の種類
部分入れ歯
部分入れ歯は、お口の中で一部の歯を失った時の対応策です。部分入れ歯の構成としては、歯ぐきの部分にあたる義歯床、人工歯、残っている歯に引っかける留め具の3つの要素から成り立っています。
保険診療の範囲で作る場合は、費用負担が少ないことや製作期間が比較的短いというメリットがありますが、金属の留め具に対して見た目の違和感があることでストレスを感じる人もいます。自由診療であれば、費用負担は上がりますが、見た目の違和感を少なくしたものや、付け心地の良さを追求したものを提供することが可能です。
部分入れ歯データ
| 保険診療 | 自費診療 | |
|---|---|---|
| 特徴 | 金属のバネで固定 | バネを使わずに装着できるものもある |
| メリット | 安価、短時間で製作可能 | 見映え、着け心地が良い |
| デメリット | 食べ物の温度を感じにくい、違和感を覚えやすい、破折しやすい、バネが見える、調整が手間 | 保険に比べて費用が高い、調整に多少時間がかかる |
| 費用(税込) | 3,000円~ | 120,000~350,000円 |
部分入れ歯の各素材と料金
薄くて軽い
チタン床義歯
| 素材 | 義歯床にチタンを使用 |
|---|---|
| 違和感 | ★★★★★ |
| 安定性 | ★★★★☆ |
| 熱伝導 | ★★★★★ |
| 料金 | 330,000円〜440,000円(税込) |
| 治療回数 | 3~7回 |
- 違和感が少ない、安定した噛み心地
- 食べ物の熱が伝わりやすい
- バネが目立たない
- 割れにくい、変形しづらい、軽い
- 金属アレルギーにならない
- 金属味がしない
- 他の金属より少し柔らかいのでまれに壊れることがある
- 公的医療保険が適用されない自由診療です
がっちり
コバルトクロム床義歯
| 素材 | 義歯床にコバルトクロムを使用 |
|---|---|
| 違和感 | ★★★★☆ |
| 安定性 | ★★★★☆ |
| 熱伝導 | ★★★★☆ |
| 料金 | 275,000円〜330,000円(税込) |
| 治療回数 | 3~7回 |
- 違和感が少ない
- 安定した噛み心地
- 食べ物の熱が伝わりやすい
- バネが目立たない
- 割れにくい、変形しづらい
- 金属アレルギーになることがある
- 金属味がする
- 公的医療保険が適用されない自由診療です
美しい
ノンクラスプデンチャー
| 素材 | ナイロンを使用 |
|---|---|
| 違和感 | ★★★★☆ |
| 安定性 | ★★★☆☆ |
| 熱伝導 | ★★★☆☆ |
| 料金 | 120,000円〜230,000円(税込) |
| 治療回数 | 3~7回 |
- バネがないので入れ歯だと気づかれにくい
- 違和感が少なく、装着感がよい
- 比較的安価
- 定期的に作り替える必要がある。
- 公的医療保険が適用されない自由診療です
安定性
アタッチメント(維持装置)
| 素材 | さまざまな種類。入れ歯の補助的な固定装置 |
|---|---|
| 違和感 | 義歯による |
| 安定性 | 安定するのでよく噛める(義歯によって異なる) |
| 熱伝導 | 義歯による |
| 料金 | 維持装置1個につき55,000円〜88,000円(税込) |
| 治療回数 | 3~7回 |
- 入れ歯が外れにくい
- しっかり噛める
- バネがないので入れ歯だと気づかれにくい
- 自分の歯が残っていないと治療が不可能
- 公的医療保険が適用されない自由診療です
安価
プラスチック義歯
| 素材 | 義歯床にプラスチックを使用 |
|---|---|
| 違和感 | ★☆☆☆☆ |
| 安定性 | ★☆☆☆☆ |
| 熱伝導 | ★★☆☆☆ |
| 料金 | 保険適用 |
- 健康保険が適用できる
- 調整が容易
- 精度を高く作るのが難しいため、安定して噛めない
- 違和感が大きい、バネが目立つ
- 割れる、変形するなど耐久性が低い
- 食べ物の熱が伝わらない
総入れ歯
総入れ歯とは、上下いずれか、または上下ともにすべての歯を失った場合に装着する入れ歯です。部分入れ歯と異なり、入れ歯を引っ掛ける歯がないため、人工歯がついた土台(床)を口の中にはめます。
総入れ歯データ
| 保険診療 | 自費診療 | |
|---|---|---|
| 特徴 | プラスチック製で厚い | 歯ぐきと接触する面がシリコンまたは金属でできている |
| メリット | 安価、短時間ででき、修復しやすい | 痛くない、外れにくい、噛みやすい、劣化しにくい |
| デメリット | 食べ物の温度を感じにくい、違和感を覚えやすい、破折しやすい、バネが見える、調整が手間 | 保険に比べて費用が高い、調整に多少時間がかかる |
| 費用(税込) | 10,000円~ ※上下別 | ¥300,000~450,000円 |
各素材の特徴と料金
薄くて軽い
チタン床義歯
| 素材 | 義歯床にチタンを使用 |
|---|---|
| 違和感 | ★★★☆☆ |
| 安定性 | ★★★★☆ |
| 熱伝導 | ★★★★★ |
| 料金 | 440,000円(税込) |
| 治療回数 | 5~10回 |
- 違和感が少ない、安定した噛み心地
- 食べ物の熱が伝わりやすい
- バネが目立たない
- 割れにくい、変形しづらい、軽い
- 金属アレルギーにならない
- 金属味がしない
- 同じ金属でも少し軟らかく、衝撃で壊れる恐れがある
- 口を開いた際に金属部分が見える可能性がある
- 公的医療保険が適用されない自由診療です
がっちり
コバルトクロム床義歯
| 素材 | 義歯床にコバルトクロムを使用 |
|---|---|
| 違和感 | ★★☆☆☆ |
| 安定性 | ★★★★☆ |
| 熱伝導 | ★★★★☆ |
| 料金 | 330,000円(税込) |
| 治療回数 | 5~10回 |
- 違和感が少ない
- 安定した噛み心地
- 食べ物の熱が伝わりやすい
- バネが目立たない
- 割れにくい、変形しづらい
- 金属アレルギーになることがある
- 金属味がする
- 公的医療保険が適用されない自由診療です
安価
プラスチック義歯
| 素材 | 義歯床にプラスチックを使用 |
|---|---|
| 違和感 | ★☆☆☆☆ |
| 安定性 | ★☆☆☆☆ |
| 熱伝導 | ★☆☆☆☆ |
| 料金 | 保険適用 |
- 健康保険が適用できる
- 調整が容易
- 精度を高く作るのが難しいため、安定して噛めない
- 違和感が大きい、バネが目立つ
- 割れる、変形するなど耐久性が低い
- 食べ物の熱が伝わらない
現在お使いの入れ歯に違和感がある方へ
まずは現在の入れ歯を観察します
現在お使いの入れ歯に違和感がある場合は、まずは入れ歯や口をじっくりと観察して問題点を探ります。例えば、口を閉じたときの唇の厚さに上下で偏りがある場合は、入れ歯の高さが合っていない可能性があります。
入れ歯で口の中が痛む理由
入れ歯で口の中が痛む理由は、入れ歯と歯ぐきがフィットしていなかったり、噛み合わせが悪かったり、歯ぐきの粘膜が薄かったり、唾液の分泌量が少なかったりとさまざまです。また、刺激に敏感な体質であることも理由の一つとして考えられます。
入れ歯作りの流れ
新しく作り替える場合には、歯と歯ぐき、噛み合わせの型を取ります。その後、できあがった型をもとに歯並びをシミュレーションし、患者さんのご要望に応じて修正を重ねていきます。
違和感を少なくするための工夫
新しく作り替える場合には、歯と歯ぐき、噛み合わせの型を取ります。その後、できあがった型をもとに歯並びをシミュレーションし、患者さんのご要望に応じて修正を重ねていきます。

親知らずの治療
親知らず抜歯の必要性
親知らずが生えたら必ず抜かなければいけないとお考えの患者さんもいらっしゃいますが、必ずしもそうではありません。親知らずが完全に歯ぐきの中に隠れている場合や、まっすぐ生えて噛み合わせに問題がなく、むし歯や歯周病のリスクが少ない場合などには抜かずに様子を見ることもあります。気になる方は、まずは一度お気軽にご相談ください。
抜歯が必要な場合
口の中の細菌の種類
親知らずの手前の奥歯との間に食べカスがたまりやすく、むし歯や歯周病のリスクが高まるほか、周囲の歯肉に炎症を起こす可能性があるため、抜歯が必要です。
親知らずは歯ブラシが届きにくいためむし歯になりやすく、既にむし歯になってしまっている場合には、そのまま放置しておくと症状が悪化するため、抜歯が必要です。
費用の目安
※費用の目安は3割負担の場合で1本¥2,000前後です。
水平埋伏智歯抜歯の場合は処方箋なしで¥3,630です。
難しい症例への対応について
当院ではほとんどのケースに対応できますが、
まれに親知らずが太い神経の近くにあるなどして抜歯が難しい場合があります。
そういった場合には、より専門的な医療機関をご紹介します。
矯正歯科
矯正歯科とは
矯正歯科の目的は、歯並びやかみ合わせの悪い状態(不正咬合)を治療し、本来の健康な状態を取り戻すことです。美しい歯並びはお口もとの印象が良くなり、ご自身の笑顔に自信が持てるようになる方も多くいらっしゃいます。また、歯のデコボコが少なくなれば、歯磨きもしやすくなり、虫歯や歯周病の予防につながります。また、正常なかみ合わせは、噛み切る・すりつぶすなど、歯が持っている役割を発揮し、消化吸収・栄養素の摂取を促進する効果も期待できます。
当院の矯正治療の特徴
部分矯正を専門に対応しております
当院では、部分矯正のみを対象として治療をおこなっております。気になる部分をピンポイントで整えるので、通常の矯正治療よりも比較的短期間・安価で治療を行うことができます。
また、部分矯正では難しい治療の場合や全顎矯正をご希望の方は、専門医紹への紹介も行っております。まずは一度、お気軽にご相談ください。
スマイルトゥルーを導入しています
「前歯の傾きが少しだけ気になる」「歯と歯の隙間をなくせたら…」「あと少し歯並びを良くしたい」こんなお悩みをお持ちも多いのではないでしょうか。
当院では、米国発の世界各国で実績のあるマウスピース型(アライナー)矯正システムのスマイルトゥルーでの矯正治療を導入しております。薄く透明なマウスピースを使用するため、目立ちにくく、違和感やストレスの負担を減らすことができます。
当院で行える矯正治療の種類
スマイルトゥルー(マウスピース矯正)
スマイルトゥルーを導入しています
「Smile TRU(スマイルトゥルー)」とは、アメリカで開発されたマウスピース型の矯正装置であり、部分矯正にも対応できます。1回の型取りだけで、軽微な歯並びの乱れを効率よく改善できる矯正方法です。
「歯並びをよくしたい」「歯と歯の隙間をなくしたい」「前歯の傾きを治したい」などのお悩みは、スマイルトゥルーで治療できる可能性があります。ご希望の場合はお気軽にご相談ください。
- マウスピースは薄く透明であり、見た目の違和感がほとんどありません
- 歯のねじれや傾き、すきっ歯の改善といった部分矯正が可能
- 従来の部分矯正より短期間かつ費用を抑えられる
- 自費診療のため費用が比較的高額
- 歯の一部を削ってスペースを作る処置が必要な症例もある
- 歯並びが極端に悪い場合はスマイルトゥルーの適用が難しい
| 治療期間の目安 | 30~40週 |
|---|---|
| 治療回数の目安 | 10回(3週間ごとに1回通院) |
| 料金 | 253,000~484,000円(税込)+設計料33,000円 *診断料(5,500円) |
治療の流れ
-
01カウンセリング

カウンセリングでは患者様のお悩みやご要望等をお伺いし、スマイルトゥルーの概要や治療のメリット・デメリットなどを分かりやすくご説明いたします。
検査前には口腔内の状態をチェックします。虫歯や歯周病、顎関節症などの問題がある場合は、悪化を防ぐためにも治療が先に必要です。症状が改善し、スマイルトゥルーが適用できると判断した場合は、次のステップに進みます。 -
02治療準備

まずはパノラマレントゲンで撮影し、お口全体の様子を明らかにします。歯の型取りでは専用のスキャナーを使用し、お口の中にかざすだけで済みます。従来のようにシリコンを噛み続ける必要がなく、嘔吐反射のような不快感もありません。スキャンしたデータは、スキャニングで3Dの模型としてデータ化し、アメリカのスマイルトゥルー社に送信します。
-
03矯正シミュレーション結果・確認
スマイルトゥルー社から当院に、矯正のシミュレーションデータが届きます。最終的な歯並びの予測を3D画像として表示でき、患者様と一緒に確認・同意を得てからアライナー(マウスピース)を作製します。治療の各ステップごとにデザインされた模型データをもとに、最新の3Dプリンターで出力し、認可されている素材のシートから歯科技工士が丁寧に仕上げていきます。
-
04アライナーの装着準備
歯に接着するアタッチメントと呼ばれる小さな突起物は、歯を動かすサポートをする役割を担います。また、必要に応じて、歯と歯の間を一部削る処置(IPR:隣接面削合)を行う症例もあります。矯正治療ではスペースを作るために抜歯を行うケースも多いですが、できる限り抜歯を避ける手段としてIPRを選択します。
-
05アライナーの装着

十分な矯正効果をめざすには、アライナーを1日20時間以上装着しなければなりません。食事や歯磨きの際は外しても問題ありませんが、それ以外の時間は基本的に装着していただきます。装着時間を守らないと、予定通りに治療が進まず、動いた歯が元の位置に戻る(後戻り)恐れもあります。
治療開始後は、歯科医院で2週間に1度の間隔でチェックを受け、担当歯科医師から新しいアライナーをお受け取りください。早い方は約3か月程度で、予定通りの歯並びになっていきます。
未承認医療機器の使用について
| 医薬品医療機器等法上の承認 | 承認 |
|---|---|
| 入手経路 | 当院は成田デンタル通じて利用・入手しております。 |
| 国内承認の医薬品の有無 | スマイルトゥルーは、医薬品医療機器等法(薬機法)対象外の矯正装置です。医薬品医療機器等法(薬機法)の承認を得ておりませんので、医薬品副作用被害救済制度の対象外となる場合があります。スマイルトゥルーに使用するマウスピース型カスタムメイド矯正装置の材料は、厚生労働省の認可を得たものです。 |
| 諸外国における安全性等の情報 | スマイルトゥルーは、全世界で1〜2万人(※)の利用者がおり、現在まででスマイルトゥルー固有の重篤な副作用の報告はありません。※2021年時点 |
ミニスクリュー(インプラント矯正)
ミニスクリュー(インプラント矯正)とは、矯正治療用の小型人工歯根(ミニスクリュー)を使用する矯正方法です。歯と歯の間や顎の骨に埋め込んで固定源にし、歯を正しい位置へと動かしていきます。固定源であるミニスクリューは安定感があり、従来の矯正方法では対応が難しかった難症例の治療も期待できます。また、治療期間の短縮、非抜歯矯正を実現できる症例もあります。
- 固定源を軸として前歯を大きく下げられる
- 従来よりも矯正装置がコンパクトであり、装着時の違和感を軽減する
- 治療期間の短縮が期待できる
- スクリューの安定が難しい症例もある
- スクリューのネジが目立つ・違和感がある
- 自費診療のため費用が比較的高額
- 歯根吸収のリスク
| 治療期間の目安 | 1か月~半年 |
|---|---|
| 治療回数の目安 | 12回 |
| 料金 | 1装置につき50,000円 |
治療の流れ
-
01ミニスクリューの植立
麻酔が十分に効いているのを確認し、ミニスクリューを歯と歯の間や顎の骨に埋め込みます。術後は患部が腫れるかもしれませんが、症状は一時的です。2日~3日程度で腫れが治まる場合がほとんどです。日常生活で術後の痛みが続く場合は、処方する鎮痛剤を服用しましょう。
-
02経過観察
ミニスクリューの安定には、2か月~3か月かかります。術後から約2週間程度は、患部周辺を刺激しないように気をつけましょう。
-
03歯の移動の開始
ミニスクリューが安定したのを確認し、矯正装置を取り付けて歯を動かしていきます。期間中にスクリューが緩んだり外れたりする場合は、改めて新しいスクリューを埋入する必要があります。
-
04インプラントスクリューの撤去
歯が予定通りの位置に動き、スクリューが不要になったら除去します。処置には基本的に麻酔がいらず、痛みもほとんどありません。歯ぐきは約1週間程度で元の状態に戻っていきますので、どうぞご安心ください。
根管治療
根管治療とは
根管は歯の内部にあり、神経や毛細血管が集まっている非常に細く狭い管です。虫歯が神経にまで達している場合は、根管内部でも細菌感染が生じています。神経を抜く処置(抜髄)では問題が解決しにくく、最終的に歯を失う恐れもあります。神経を抜いてもご自身の歯を残すには、「根管治療」が重要です。根管内部を徹底的に清掃し、専用のセメントを詰めて細菌に侵入しない状態を作り上げます。
※当院で行う根管治療は保険診療です。
当院の根管治療の特徴
マイクロスコープによる精密根管治療
根管の入口は狭く、内部も非常に複雑な形状であり、肉眼で内部を見ることはできません。従来の根管治療は、歯科医師の経験や勘を頼りにしたものでしたが、それでは正確性に欠けています。
当院では歯科用顕微鏡であるマイクロスコープを導入し、根管内部をはっきりと見た状態で精密な根管治療の提供に努めています。日本ではマイクロスコープの普及率は低いですが、再感染や再治療のリスクを減らすために欠かせない機器です。
より歯を残すことを目指した治療
神経の除去には「ファイル」と呼ばれる治療器具が必要です。ファイルに用いられる素材は、「ステンレス」と「ニッケルチタン」の2種類に大きく分けられます。
ステンレスファイルが主流ですが、当院ではより柔軟性が高く、根管内部の先端にまでしっかりと届くニッケルチタンファイルを使用します。神経や根管内部の感染物質を的確に取り除き、患者様の歯の保存をめざします。
根管治療の流れ
根管治療の流れ
-
01むし歯・補綴物の除去

まずは虫歯部分を丁寧に除去します。この際、健康な歯質はできる限り多く残し、歯にかかるダメージの軽減を大切にしています。
詰め物や被せ物の内側で虫歯ができている可能性もあり、症例に応じて取り外します。また、根管治療を行うためには、歯を大きく削る処置が必要です。 -
02根管内をむし歯菌除去・洗浄

根管の入口が見えたらリーマーと呼ばれる治療器具を使用し、処置しやすいように穴を広げます。その後はニッケルチタンファイルを使用し、神経を除去します。また、薬剤で根管内部を洗浄し、感染物質や歯の削りカスなどを残さないように、慎重に治療を進めていきます。少しでも細菌が残ると再治療の原因になるため、特に精密さが求められる処置です。
-
03根管を充填

神経の除去や根管の洗浄が終わりましたら、「根管充填」という処置を行います。専用のセメントを根管に流し込み、細菌が侵入しない状態を作ります。
-
04根管を充填

神経の除去や根管の洗浄が終わりましたら、「根管充填」という処置を行います。専用のセメントを根管に流し込み、細菌が侵入しない状態を作ります。
-
05土台の設置・被せ物の装着

セメントが固まり根管を密封できたのを確認し、被せ物を取り付けるための支台(コア)を作ります。被せ物を作製し、装着した後はかみ合わせを調整します。問題がないことを確認し治療完了です。
「Zoo」による感染予防
根管治療の成功率を高めるには、根管内部を無菌状態に近づけることが大切です。
当院では「Zoo(ズー)」という特殊な器具を使用し、細菌感染のリスク軽減に努めています。
Zooにより細菌を含む唾液が根管内部に流れるのを防ぎます。
装着も数秒程度で簡単にでき、ラバーダムに比べて痛みが少ないなど、患者様にかかる負担も少なくなるのです。




